Discover

enVastTM

WHEN THE PROBLEM IS CLOT BURDEN

enVast is the first and only CE approved stent retriever for temporary endovascular use to restore blood flow in patients experiencing thrombosis symptoms in the coronary vasculature.

CHOOSE TO REMOVE FOR RAPID REPERFUSION DURING A STEMI HEART ATTACK

The most common type of heart attack, an ST-elevation myocardial infarction (STEMI), is also the most dangerous. 

A STEMI is caused by a blood clot, called a large thrombus burden (LTB), that completely blocks an artery to the heart.

When an artery to the heart is blocked, oxygenation is obstructed, leading to heart muscle tissue damage.

NO TIME
TO WASTE

STEMI heart attack patients are two times more likely to die than other heart attack victims. Survivors have a 2 to 4 times higher risk of experiencing major, life-altering adverse events.

Reopening the artery and restoring blood flow as soon as possible is essential for preventing permanent damage or death.

Treatment Window is Short:

  • Less than 3 hours from the onset, the patient has a chance of full recovery
  • Greater than 3 hours from the onset, the patient will likely have some permanent damage
  • Greater than 12 hours, patient outcome is poor

ENDOVASCULAR APPROACHES IN STEMI

Conventional endovascular treatment for STEMI patients involves opening the artery with balloon & stent:

  • Outcomes remain poor in ~50% due to residual thrombus in the vessel

Endovascular aspiration continues to be debated. Studies show thrombus aspiration alone:

  • does not improve reperfusion or outcomes, and
  • bear higher potential for stroke

ENVAST DROP ZONE TECHNOLOGY IN ACTION

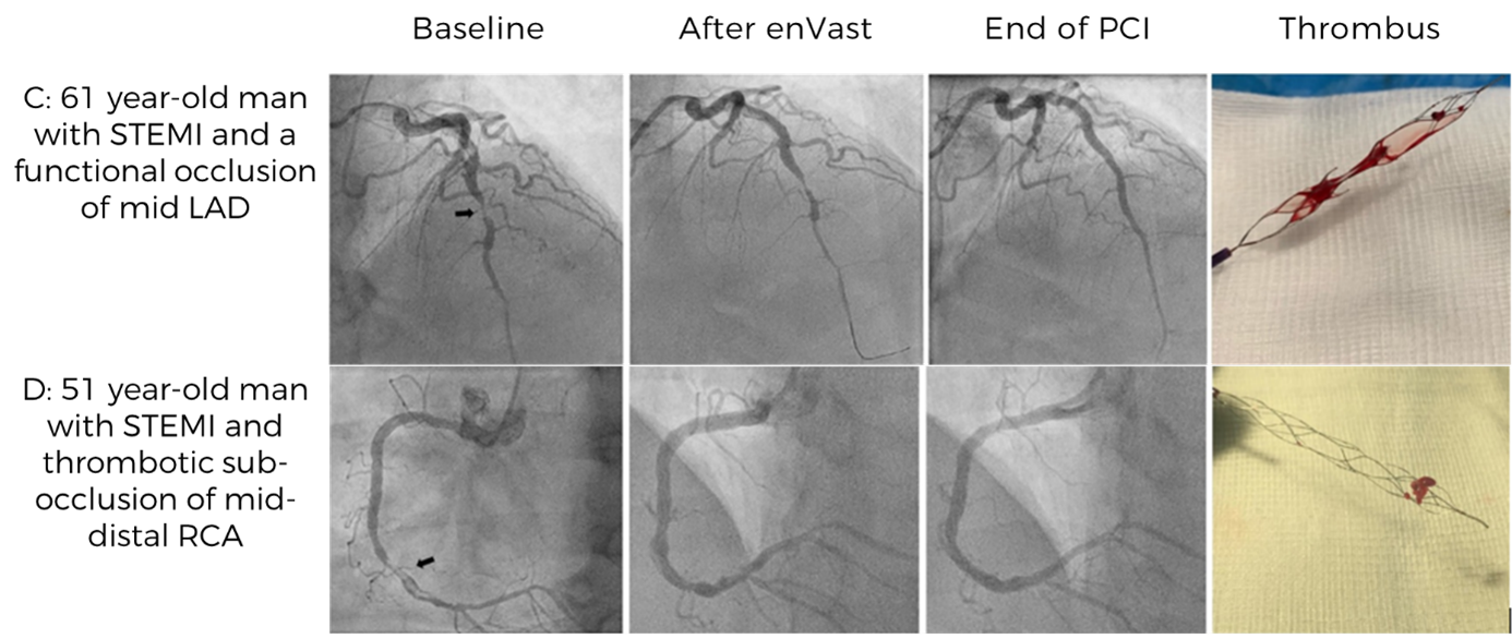
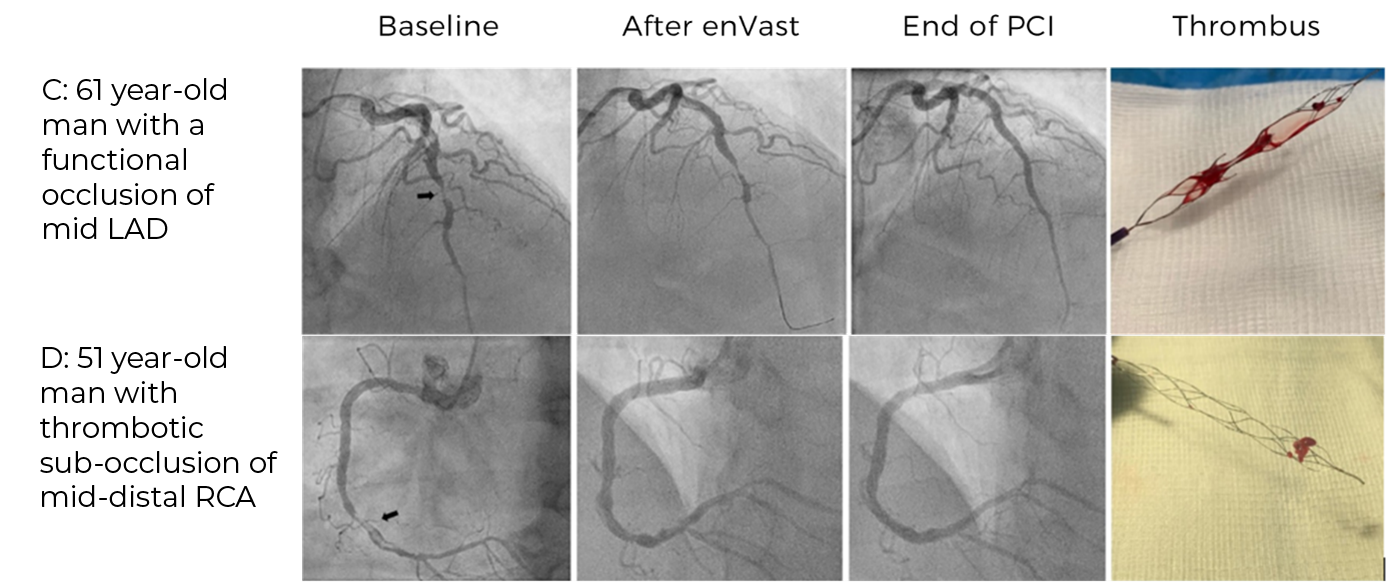
A 61-year-old man was admitted to the cath-lab. for anterior STEMI. Coronary angiography revealed a large thrombus burden in an ectatic and occluded LAD. How would you treat this challenging case?

ENVAST
85% IMMEDIATE REPERFUSION

Equipped with Drop Zone technology, the enVast coronary thrombectomy system has been proven to remove large thrombus burden (LTB) and create immediate reperfusion in 85% of cases.

Drop Zone technology captures the thrombus inside the device, and the closed distal tip keeps it from escaping during removal.

Each Drop Zone provides an additional opportunity to secure the clot burden, making first pass success common.

Critical minutes are saved for better patient outcomes.

FIRST–IN–HUMAN
Cases

In a first-in-human case series of 61 STEMI patients with LTB, a thrombectomy technique with an enVast stent retriever and continuous aspiration was developed for coronary care.

Safe & Successful
The technique was safe and warranted high rates of successful flow restoration in culprit vessels​
NO ADVERSE EVENTS

Procedural complications (i.e., coronary spasms) were mild and reversible, and no serious adverse events were reported.

ENVAST TECHNOLOGY
IN ACTION

Dr. Marco Vaglimigli, Deputy Chief of Cardiology at Cardiocentro Ticino Istituto, Switzerland, uses enVast in STEMI patients

In mid-2022, Vesalio began a clinical trial for STEMI patients.

The NATURE study, a randomized, multi-center clinical trial, will compare the safety and efficacy of enVast™ as an adjunctive measure to conventional intervention versus the standard of care in STEMI patients with an LTB.

ENVAST PORTFOLIO
ADAPTS TO ANATOMIES

enVast is offered in several sizes to adapt to the anatomical challenges presented by STEMI patients

CHOOSE
TO REMOVE

enVast devices with freshly removed LTB clots inside

Do The
Drop Zone

Would you like to know more?