enVast

CLINICAL CASES

ENVAST MECHANICAL THROMBECTOMY AFTER THROMBUS ASPIRATION FAILURE IN A STEMI WITH A MASSIVE THROMBOTIC BURDEN

JACC-Results.jpg
  • 55-year-old, overweight man with STEMI and ongoing angina for 24 hrs was admitted to the cath lab.
  • Coronary angio documented diffuse coronary ectasia with thrombotic occlusion of the mid-right coronary artery.

enVast™ 4.5 x 46 mm

Dario Bongiovanni, Francesco Loizzi, Antonio Landi, Léa Utsch, Marco Araco, Michael Joner, Marco Valgimigli

    Cardiocentro Ticino Institute – Lugano, Switzerland
    Humanitas Research Hospital – Milan, Italy
    Technical University of Munich – Munich, Germany

READ CASE PUBLICATION >

NIGHTMARES DURING PRIMARY PCI: LARGE THROMBUS BURDEN MANAGEMENT IN AN ECTATIC LEFT ANTERIOR DESCENDING CORONARY ARTERY

  • 61-year-old male patient with cardiovascular risk factors of smoking and obesity admitted for anterior STEMI: Acute chest pain, hemodynamically stable, normal ejection fraction
  • Coronary angio showed: Ectatic right coronary artery, Ectatic LAD occlusion with large thrombus burden (TIMI flow: 0, TIMI thrombus grade: 5)
  • 2 enVast passes resulted in no residual thrombus debris and no sign of distal embolization with a final TIMI 3 flow

enVast™ 4.5 x 37 mm

Dr Marco Valgimigli & Dr Antonio Landi,
    Cardiocentro Ticino Institute – Lugano, Switzerland

Discover details on the case and procedural demonstration on PCR-online:

READ CASE PUBLICATION >

pcronline-default-copy.png

THE FIRST ENVAST CASE IN SPAIN

(Text translated into English from the original Spanish publication)
Thrombectomy in ST-segment elevation acute myocardial infarction (STEMI) is currently an infrequently used technique, as randomized studies have not demonstrated its efficacy and have been associated with a higher risk of stroke compared with balloon dilation. However, the treatment of STEMI with a large thrombotic burden remains a challenge. We describe here the first case in Spain involving a new thrombectomy system.

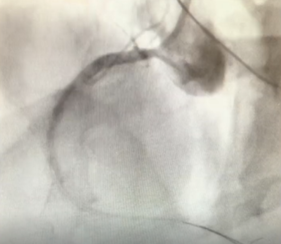
  • The patient was a 53-year-old male with a history of type 2 diabetes mellitus, obesity, and smoking, who was admitted to our hospital with an inferior STEMI. Coronary angiography revealed a thrombotic occlusion of the mid segment of the right coronary artery, with a high thrombus burden (Figure 1, Video 1 in the supplementary material).
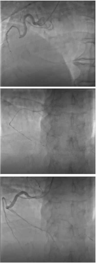
  • After several attempts with balloon dilation and conventional thrombectomy, the decision was made to use the enVast* stent system:
  • Two BMW guidewires were positioned in the posterior descending and posterolateral arteries (PDA and PLA), and the guidewire in the PDA was used to advance a microcatheter (MC) to the crux
  • Through the MC, enVast* was introduced, after which the MC was withdrawn (Figure 2, Video 2 in the supplementary material)
  • Continuous aspiration was then applied using a guide catheter extension connected to three overlock syringes to retrieve the enVast stent en bloc
  • This maneuver resulted in the extraction of macroscopic thrombotic material and allowed visualization of vessel reopening (Figure 3, Video 3 in the supplementary material)
  • The procedure was subsequently completed with the implantation of two drug-eluting stents (3.0 × 38 mm and 4.0 × 38 mm), achieving a final thrombolysis in myocardial infarction (TIMI) grade 3 flow (Video 4 in the supplementary material).
    a, Spain

Dr Regina D. Costabile, Dr Salvatore Brugaletta
    IDIBAPS, University of Barcelona, Spain

*NeVa (Vesalio, United States) was the designation used in the original publication; the product is currently referenced under the brand enVast

logo_SEC-e1769201901301.png

THROMBOTIC LAD OCCLUSION RESOLVED WITH ENVAST IN THE NETHERLANDS

  • A patient presented with a thrombotic occlusion of the LAD.

Initial approach:

  • Aspiration thrombectomy achieved good thrombus yield but did not restore antegrade flow
  • IVUS revealed a high thrombus burden, prompting a switch to enVast

Intervention:

  • Four successful passes with enVast resulted in complete thrombus removal on IVUS
  • Plaque and plaque rupture were present, but the minimum lumen area remained >10 mm²
  • A 4 mm drug-coated balloon was used; stenting was not required

OUTCOME:

  • TIMI III flow achieved

Dr Wijnard den Dekker,
  Erasmus MC, Netherlands

ACCESS CASE POST >

NEW! TROMBECTOMIA MECANICA CON EL STENT NEVA EN EL IAMCEST MECHANICAL THROMBECTOMY WITH THE NEVA STENT* TO TREAT STEMI

Thrombectomy in the context of ST-segment elevation acute myocardial infarction (STEMI) is infrequently employed, primarily due to a lack of conclusive evidence regarding its efficacy and concerns about an elevated risk of stroke compared to balloon dilation. Despite these reservations, managing STEMI cases with substantial thrombotic burden presents an ongoing challenge. This report details the inaugural implementation of a novel thrombectomy system in Spain.

The subject is a 53-year-old male with a medical history encompassing type 2 diabetes mellitus, obesity, and a smoking habit. He was admitted to our hospital following an episode of lower STEMI. Coronary angiography revealed a thrombotic occlusion in the mid-segment of the right coronary artery, characterized by a notably high thrombotic load.
After failure of multiple attempts with balloon dilation and conventional thrombectomy techniques, the decision was made to employ the enVast system (NeVa, Vesalio, United States) as an alternative approach.

Two BMW guidewires were strategically placed at the posterior and posterolateral descending arteries. The posterior descending artery guidewire facilitated the insertion of a microcatheter up to the occlusion site. Subsequently, enVast was navigated through the microcatheter, which was then removed. To ensure continuous aspiration during retrieval, a guide catheter extension, equipped with three luerlock syringes, was utilized. This meticulous process with enVast effectively removed macroscopic thrombotic material and allowed for the visualization of the artery’s opening. The procedure was concluded with the implantation of two stents.

*enVast™

Dr Regina D. Costabile
Dr Salvatore Brugaletta
IDIBAPS, University of Barcelona, Spain

READ CASE >

THE FIRST ENVAST CASE IN THE UK

  • Inferior ST elevation following balloon valvuloplasty
  • Flow remained poor despite multiple thrombectomy catheters and balloon angioplasty
  • enVast established excellent flow and allowed successful TAVI procedure

Dr Mohammad Alkhalil,
    The Freeman Hospital, UK